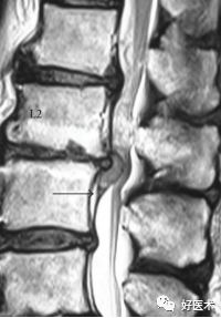
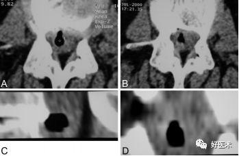
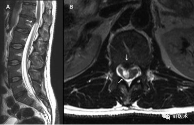
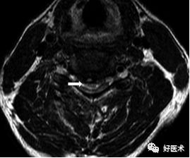
我们先来看一个病例:


1
定义
2
发病率及常发部位
3
临床特点

图示:谭军教授团队提出的颈椎间盘突出的形态学分型示意图
4
诊断












5
病因和发病机制
6
治疗



时间:2022-05-02 来源:网络 点击: 次
我们先来看一个病例:


1
定义
2
发病率及常发部位
3
临床特点

图示:谭军教授团队提出的颈椎间盘突出的形态学分型示意图
4
诊断












5
病因和发病机制
6
治疗



热线电话:
18796766661
上班时间
周一到周末(24小时)
公司电话
江苏省泰州市医药高新区药城大道8839号
